Persistent Shoulder Pain in a Dialysis Patient?

— Consider metastatic or ectopic calcification in diagnosing unexplained symptoms in ESRD patients

MedpageToday
A mature male describes his shoulder pain to his male doctor.

A 46-year-old male with end-stage renal disease (ESRD) due to systemic vasculitis associated with diffuse cytoplasmic staining antineutrophil cytoplasmic antibodies (cANCA) with rapid-progressive glomerulonephritis presented with persistent pain when moving his left shoulder.

The patient's medical history showed that he had developed renal failure, despite receiving intensive immunomodulatory therapy with plasmapheresis, steroid boluses, and cyclophosphamide. Four years previously, he had been started on continuous ambulatory peritoneal dialysis (CAPD). Over the next several years, the patient's residual kidney function had declined and his phosphate levels began increasing from a baseline of 1.07.

His shoulder pain was treated traditionally with symptomatic physiotherapy and non-steroidal anti-inflammatory drugs. He was also assessed by an orthopedic specialist, but did not receive any local injections of anesthetics or other invasive treatments.

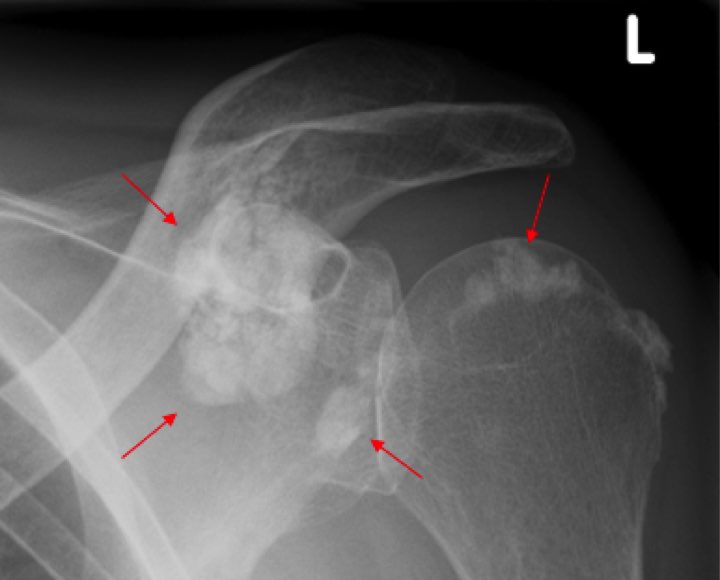
When the pain persisted, clinicians ordered lab tests, which revealed a phosphate level of about 1.20 mmol/L. An X-ray examination of his left shoulder (Figure) showed evidence of severe ectopic or metastatic calcification (red arrows) around the joint structures of his left shoulder.

image
Figure. A 46-year-old male patient with ESRD and painful motion of the left shoulder. X-ray examination showed metastatic calcification (red arrows) around the joint structures of the left shoulder.

At the time of diagnosis, the patient's notable laboratory values included: calcium 2.38 mmol/L, phosphate 2.10 mmol/L, and parathyroid hormone 283 ng/L.

The patient was receiving oral calcidiol therapy at 10,000 IU per week to manage secondary hyperparathyroidism. His 25-OH-D3 levels were 36 nmol/L. However, 1-25-OH-D3 levels were not checked, and he was not being treated with active vitamin D3 therapy. Efforts to address his elevated phosphate levels included several sessions of nutritional counselling and use of high doses of various phosphate binders.

When the patient experienced nausea, constipation, and stomach pain with high doses of single phosphate-binding agents, clinicians tried various combinations of these drugs, including lanthanum-carbonate, calcium-acetate and magnesium-carbonate, and sevelamer-carbonate.

The patient's estimated glomerular filtration rate was less than 5 mL/min/1.73 m2 body surface area, and he had repeated volume overload with elevated blood pressure, despite a weekly Kt/V of 1.71 on CAPD. As a result, he was switched to hemodialysis three times a week; each session was 270 min in duration and resulted in a Kt/V of 1.45. The procedure was performed using post-dilutional online hemodiafiltration with a mean volume of 12 to 16 liters.

The change to hemodialysis using this regimen led to a significant decrease in phosphate levels, which remained well-controlled within normal ranges (mean value 1.26 mmol/L). Similarly, the patient's calcium and parathyroid hormone levels stabilized at 2.29 mmol/L and 255 ng/L, respectively. His shoulder pain on mobilization slowly improved over the following 16 months, and finally disappeared completely. A follow-up X-ray evaluation showed that the periarticular calcifications had almost completely resolved.

Discussion

Clinicians presenting this case of a uremic patient who develops metastatic calcification of the shoulder joint noted that, although thought to be induced by persistently increased levels of calcium-phosphate-product or parathyroid hormone levels, these calcifications represent a "rare and initially often overlooked cause of persistent, therapy-resistant pain of connective tissues and joint apparatus in end-stage renal disease (ESRD) patients on dialysis therapy."

Case report authors cautioned that, in general, calcifications may develop in ESRD patients with only moderately elevated blood phosphate levels, and can occur in various anatomical locations, including joints, tendons, heart valves, soft tissues, and blood vessels, and should be considered as a differential diagnosis.

This patient, for instance, had only moderately elevated phosphate levels, and his calcium and parathyroid hormone levels were within recommended target range, suggesting that other relevant pathophysiological mechanisms were involved, authors noted.

Additionally, patients with chronic kidney disease (CKD) may develop valvular calcification 10 to 20 years earlier than the general population, one paper noted; the relative risk is eight times higher in patients on hemodialysis, with a prevalence of 55% for aortic valve calcification and 59% for mitral valve calcification.

While the reason for variability in anatomical areas potentially affected is not well-understood, case authors noted that "the syndrome can lead to disastrous consequences, including paraparesis, if detected late in the course and not treated adequately." The potential for calcifications to develop within a few months means that previous negative findings on radiological evaluations are no guarantee of the absence of new ectopic calcium deposits, authors noted.

Rarely, ectopic tumoral calcinosis has been observed in several "distinct locations in the same patient and concomitantly with calciphylaxis," the group noted, adding that unlike calciphylaxis, "ectopic calcifications are not associated with warfarin therapy" and are very rare in ESRD patients; this suggests that "a complex interplay of metabolic interactions" may increase this risk in some individuals.

High phosphate levels tend to be associated with ectopic calcifications, the group wrote. However, they added, "lower levels of 2.48 to 2.07 mmol/l have also been reported." They suggested that in kidney disease patients, this might be due to a reduced appetite as a result of chronic pain or adverse effects of pain medication.

"We could not detect any predisposing factors to develop ectopic calcifications, such as prior trauma or surgical procedures, in our patient," they wrote. In addition to those factors, recent theories have proposed that changes in vascular smooth muscle cells may "have an additive effect in this distinct disorder." They explained that increased phosphate levels can induce mineralization in cultures of smooth muscle cells, thus adding activity on the cellular level to the "simple model of mineral ion oversaturation and precipitation."

Additional research has illuminated the complex interplay of various factors and their roles in inducing or inhibiting the calcification process, they noted, citing data identifying two different proteins, matrix Gla protein and serum fetuin-A, as "potent intrinsic inhibitors of calcification." While potential involvement of these factors in this patient's case remain undetermined, "the fact that immediate and sustained lowering of phosphate levels to normal range levels effectively reversed ectopic calcifications is clinically reassuring," the case authors wrote.

Other recent laboratory research has shown that pathological ectopic calcification in fetuin-A deficient DBA/2 mice is caused by a combined deficiency of fetuin-A, pyrophosphate, and magnesium, each of which individually contributes to stabilization of protein-mineral complexes, and thus inhibits mineral precipitation from extracellular fluid. "We show for the first time a compound triple deficiency that can be treated by simple dietary or parenteral supplementation," researchers wrote, a finding "of special importance in patients with advanced CKD, who commonly exhibit reduced serum fetuin-A, pyrophosphate and magnesium levels." Those authors cautioned, however, that despite the reported safety of magnesium supplementation in CKD patients, it must be tightly monitored to avoid hypermagnesemia.

Case authors noted that elevated phosphate levels in ESRD patients are essentially managed by dietary and lifestyle modifications, followed by prescribed phosphate binders as tolerated, they wrote, measures that, in addition to reducing patients' risk of ectopic calcifications, may help address their increased risk of cardiovascular mortality.

Given the vulnerability of ESRD patients and "the potential catastrophic consequences of this disorder," case authors suggested that "intensifying the ESRD regimen" by switching from peritoneal to hemodialysis or even emergent transplant "might be justified."

In any case, this patient's successful outcome highlights the potential of simple dietary changes, along with an increased dose of phosphate binders and a switch to hemodialysis as viable approaches in management of metastatic calcifications, case authors noted. Such a conservative approach also has the advantage of avoiding surgical procedures and the associated risk of wound infections.

The group concluded by reiterating the importance of considering metastatic or ectopic calcifications in ESRD patients with unexplained symptoms, and recommended intensive measures to reduce the phosphate load to normal levels, as described above, including "postponement of operative measures or surgical resection of the calcified tissues...if possible."

  • author['full_name']

    Kate Kneisel is a freelance medical journalist based in Belleville, Ontario.

Disclosures

The case report authors noted no conflicts of interest.

Primary Source

American Journal of Case Reports

Source Reference: Tillmann F-P, et al "A Rare Cause of Left Shoulder Pain in a Peritoneal Dialysis Patient" Am J Case Rep 2022; DOI: 10.12659/AJCR.933223.